Connect with us

Mundo

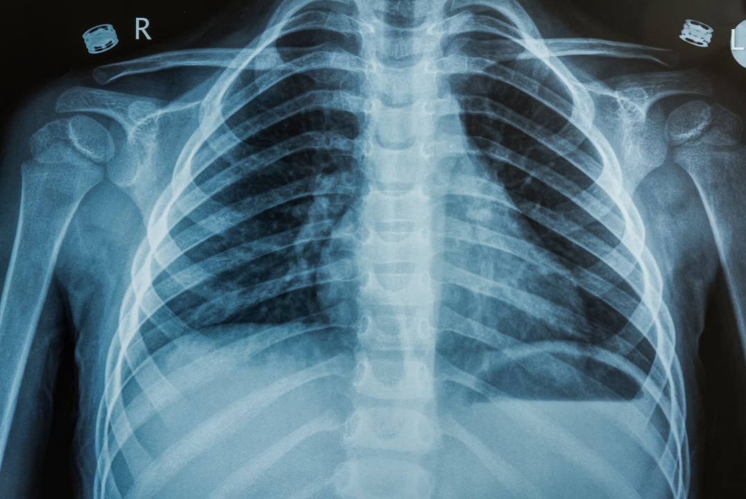
Vivió 8 años con un cuchillo en el pecho sin saberlo: el insólito caso médico

Publicado

on

En Tanzania, un hombre de 44 años acudió al hospital por una secreción persistente en el pezón derecho.

Lo que parecía una infección menor terminó revelando un hallazgo médico insólito: tenía un cuchillo completo alojado en su pecho, desde una agresión ocurrida ¡ocho años atrás!

Según el reporte publicado en el Journal of Surgical Case Reports, el paciente había sido apuñalado en 2016, pero tras recibir atención médica inicial, nunca se le realizó una radiografía torácica. Con el tiempo, olvidó el incidente y jamás presentó síntomas graves. Su cuerpo, en un acto de defensa biológica, encapsuló el cuchillo en una cápsula fibrosa, aislándolo de órganos vitales como el corazón y los pulmones.

Durante años, el hombre vivió sin dolor, fiebre ni dificultad para respirar. Solo cuando la cápsula comenzó a infectarse y generar pus, apareció la secreción que lo llevó al hospital.

Los médicos del Hospital Nacional Muhimbili realizaron una tomografía que reveló la silueta completa del cuchillo. En la cirugía, extrajeron el arma rodeada de tejido muerto y material purulento.

El paciente pasó 24 horas en cuidados intensivos y se recuperó sin complicaciones. El caso fue documentado como un ejemplo extraordinario de supervivencia y resiliencia fisiológica.

Enfoque Now es una plataforma digital dedicada a conectar e informar a la comunidad latina acerca de los acontecimientos que suceden a nivel local e internacional.

Mundo

Panamá da primer paso formal para ingresar al programa de exención de visas de Estados Unidos

La mesa interinstitucional evaluará estándares de seguridad, gestión migratoria e intercambio de información

Publicado

on

Panamá dio un paso formal en su aspiración de ingresar al Programa de Exención de Visas (Visa Waiver Program, VWP) de Estados Unidos con la conformación del Grupo de Trabajo Interinstitucional para la Exención de Visas, liderado por el ministro de Relaciones Exteriores encargado, Carlos A. Hoyos.

Este grupo fue establecido en una reunión que reunió a representantes de diversas instituciones del Gobierno, con el objetivo de definir los requisitos técnicos, operativos y de seguridad que Panamá deberá cumplir para avanzar en el proceso de ingreso al programa estadounidense.

El encuentro marcó el inicio formal de un proceso que implica una coordinación interinstitucional intensa, con miras a fortalecer la seguridad fronteriza, la gestión migratoria y el intercambio de información.

La mesa de trabajo operará de manera conjunta con la Embajada de Estados Unidos en Panamá y representantes del Departamento de Seguridad Nacional del país norteamericano, en una etapa que se presenta como compleja y de largo plazo.

Durante la reunión, el ministro encargado Hoyos explicó que la integración del grupo responde a un esfuerzo del Estado panameño por cumplir con los estándares técnicos y operativos exigidos por el Programa de Exención de Visas, que no solo cubre aspectos migratorios, sino también seguridad, gestión documental y cooperación bilateral.

Según Hoyos, avanzar en este proceso requiere del aporte coordinado de múltiples entidades nacionales, desde migración hasta aeronáutica civil, con un enfoque de corresponsabilidad para cumplir los requisitos que establece la ley estadounidense.

El funcionario subrayó además que el programa no solo representa una posible facilidad migratoria para los ciudadanos panameños, sino una herramienta para fortalecer los vínculos sociales, académicos y empresariales entre Panamá y Estados Unidos, siempre bajo estándares elevados de seguridad y confiabilidad.

Enfatizó que la exención de visas debe verse en el marco de una visión estratégica de largo plazo, con beneficios potenciales en turismo, comercio y movilidad educativa.

El embajador de Estados Unidos en Panamá, Kevin Cabrera, presente en el encuentro, señaló que su gobierno está compartiendo información técnica y apoyo con las autoridades panameñas para avanzar en el cumplimiento de los requisitos que establece la legislación estadounidense.

Sigue leyendo

Fútbol con Enfoque

Empieza la Copa Libertadores 2026: el calendario de los partidos de las rondas preliminares y la fecha en que se sorteará la fase de grupos.

El duelo entre The Strongest de Bolivia y Deportivo Táchira de Venezuela dará comienzo a una nueva edición del máximo certamen continental

Publicado

on

Hoy comienza la edición 2026 de la Copa Libertadores con el inicio de la Primera Fase, una instancia que marca el arranque oficial del certamen más importante de clubes en Sudamérica. El primer partido tendrá lugar en La Paz, donde The Strongest recibirá a Deportivo Táchira a las 21:30 horas en el estadio Hernando Siles, con el arbitraje de Paulo Cesar Zanovelli da Silva. Este encuentro abre la serie E1 y el ganador avanzará a la siguiente ronda, en busca de un lugar en la fase de grupos.

La primera semana de acción continúa el miércoles con el duelo entre 2 de Mayo de Paraguay y Alianza Lima de Perú, seguido el jueves por el enfrentamiento entre Juventud de Las Piedras de Uruguay y Universidad Católica de Ecuador. Todos los partidos de este tramo inicial se disputarán a las 21:30 horas, y la próxima semana se jugarán los encuentros de vuelta para definir a los equipos que seguirán en carrera.

En la Fase 1 participan clubes de Bolivia, Ecuador, Perú, Paraguay, Uruguay y Venezuela, federaciones que buscan dejar su huella en el certamen desde el primer día. Argentina no cuenta con representantes en esta instancia preliminar. Los tres equipos que superen la Fase 1 se sumarán a otros 13 que ya tienen su lugar asegurado en la Fase 2, cuyos partidos se disputarán entre el 17 y el 26 de febrero.

La estructura del torneo establece que tras la Fase 2, los ocho ganadores avanzarán a la última etapa previa, la Fase 3, donde se definirán los cuatro equipos que accederán a la fase de grupos. Aquellos clubes que no logren superar la Fase 3 tendrán la oportunidad de disputar la fase de grupos de la Copa Sudamericana.

 

En la fase de grupos de la Libertadores competirán 32 equipos de los diez países sudamericanos, incluidos los campeones vigentes de la Libertadores y la Sudamericana, junto a los que logren avanzar desde las rondas previas. Así se pone en marcha una nueva edición del máximo torneo continental, con el sueño intacto de la “Gloria Eterna”.

Sigue leyendo